糸状角膜炎 ― 片目だけの痛みと異物感、その正体は?
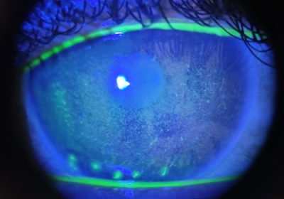
糸状角膜炎 ― 片目だけの痛みと異物感、その正体は? ある日、突然片方の目だけに「ゴロゴロする」「まばたきすると痛い」といった症状が現れることがあります。鏡を見ても特にゴミが入っているようには見えず、涙も出てくる——そん … 続きを読む 糸状角膜炎 ― 片目だけの痛みと異物感、その正体は?
埋め込むにはこの URL をコピーして WordPress サイトに貼り付けてください
埋め込むにはこのコードをコピーしてサイトに貼り付けてください