糸状角膜炎 ― 片目だけの痛みと異物感、その正体は?
ある日、突然片方の目だけに「ゴロゴロする」「まばたきすると痛い」といった症状が現れることがあります。鏡を見ても特にゴミが入っているようには見えず、涙も出てくる——そんなときに考えられる原因のひとつが「糸状角膜炎(しじょうかくまくえん)」です。
■ 糸状角膜炎とは
角膜(黒目の表面)を覆う涙のバランスが崩れ、上皮の一部が乾燥や摩擦で傷つくと、傷ついた上皮とムチンという粘性成分が絡み合って、細い糸のような付着物「フィラメント(filament)」ができます。
これがまばたきのたびに角膜表面を引っ張るため、強い異物感や痛みを生じるのです。
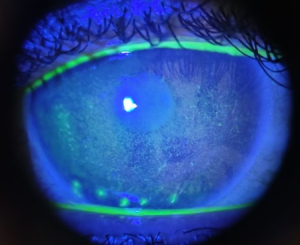
フィラメントは通常1〜数本、長さ1〜2ミリ程度の半透明な糸状物で、先端は角膜に付着し、もう一端はゆらゆらと動きます。これが「ゴロゴロ」「チクチク」「何かが張り付いている感じ」の正体です。
■ どうして起こるのか
中年以降の女性に比較的多く、原因の多くは**涙の質や量の低下(ドライアイ)**です。
長時間のパソコン作業やコンタクトレンズの使用、エアコンによる乾燥などが誘因になります。まれにまつ毛の刺激や、薬剤性の上皮障害によって片眼だけに起こることもあります。
■ 診察と処置
診察では、スリットランプという顕微鏡で角膜を観察すると、細い糸状物が確認できます。点眼麻酔をして綿棒などでやさしく取り除くと、痛みはいったん軽くなります。
しかし、フィラメントができる背景に「涙液の不安定」「角膜上皮の乾燥」があるため、除去だけでは根本解決になりません。
■ 再発予防と点眼治療
治療の中心は、角膜を潤すことと涙液の環境を整えることです。
-
① 防腐剤無添加の人工涙液(例:ヒアレインミニ®、ソフトサンティア®)
→ 1日4〜6回以上の頻回点眼で角膜を守ります。 -
② ムチン分泌促進点眼薬(例:ジクアス®)
→ 涙液の質を改善し、上皮の修復を助けます。 -
③ 軽い炎症を抑えるためのステロイド点眼薬(例:フルメトロン®など)
→ 数日から1週間ほど短期間使用します。
痛みが強い場合や再発を繰り返す場合には、シクロスポリン点眼や涙点プラグ(涙の出口をふさいで涙を目にためる治療)を検討することもあります。
■ 生活の中でできる工夫
-
画面作業や読書中は、意識してまばたきを増やす
-
エアコンや送風の風を直接当てない
-
夜間は加湿器を使用
-
コンタクトレンズを使用している場合は、一時的に装用を中止
-
睡眠不足やストレスも涙の分泌を減らすため、生活リズムを整えることが大切です。
■ 経過と再診
フィラメントを除去し、点眼を続けると数日で痛みは軽減します。
しかし、再発しやすい病気でもあるため、2〜3日後や1週間後の再診で角膜上皮の回復を確認します。乾燥の強い人は、しばらく保湿点眼を続けることで再発を防ぐことができます。
■ 院長コメント
糸状角膜炎は、「目の表面が乾きすぎていますよ」というサインです。放置すると再発を繰り返し、慢性的な痛みや視力低下を引き起こすこともあります。
早めに適切な点眼治療を始めることで、数日で快方に向かうことが多いので、片目だけでも違和感を感じたら我慢せず受診してください。
当院では、涙液の検査や角膜上皮の状態を詳細に観察し、再発を防ぐための生活アドバイスも行っています。



コメント